La gestione conservativa delle lesioni distali nel cavallo rappresenta una sfida quotidiana per il Veterinario equino e l’ippiatra, soprattutto quando sono coinvolte strutture critiche come tendini flessori, guaine sinoviali o capsula ungueale e la chirurgia non è praticabile per motivi clinici, prognostici o economici.
In questi casi, l’obiettivo del clinico è costruire protocolli terapeutici in grado di controllare l’infiammazione, ridurre il rischio infettivo e supportare una riparazione tissutale efficace, pur operando in un contesto biologicamente sfavorevole.
Una recente pubblicazione su Large Animal Review (2025), intitolata “High-power Photobiomodulation Therapy in the Conservative Management of Two Severe Equine Distal Limb Injuries”, offre nuovi elementi di discussione sull’integrazione della laser terapia equina ad alta potenza all’interno di protocolli conservativi multimodali.
Laserterapia veterinaria nel cavallo: perché considerarla nei casi non chirurgici
Negli ultimi anni, la fotobiomodulazione in medicina veterinaria ha attirato crescente interesse come terapia di supporto nei disordini muscoloscheletrici e nelle ferite dei tessuti molli.
Nel cavallo, tuttavia, l’applicazione della laserterapia nei traumi distali rimane meno documentata, in particolare nei casi complessi che coinvolgono:
- lacerazioni tendinee complete
- contaminazione sinoviale
- avulsioni della parete ungueale con esposizione ossea
Lo studio in oggetto descrive due casi clinici equini gravi, entrambi caratterizzati da:
- prognosi iniziale da riservata a sfavorevole
- impossibilità di trattamento chirurgico
- introduzione precoce della Laserterapia MLS® come parte integrante della gestione conservativa
Primo caso: lacerazione completa dei tendini flessori nel cavallo

Gestione conservativa con laserterapia

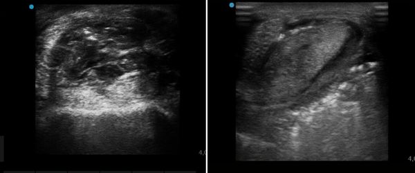
Un cavallo sportivo di 7 anni presentava una lacerazione completa del tendine flessore superficiale (SDFT) e profondo (DDFT) a livello della guaina dei flessori digitali, una condizione notoriamente associata a prognosi sfavorevole in assenza di riparazione chirurgica.
La gestione conservativa ha incluso:
- terapia antibiotica sistemica e regionale
- trattamento antinfiammatorio
- immobilizzazione esterna prolungata
- 30 sedute di laser MLS® distribuite su 123 giorni
Risultati clinici rilevanti

Dal punto di vista dell’ippiatra, gli aspetti più significativi sono stati:
- chiusura completa della ferita in circa 60 giorni
- assenza di infezione, deiscenza o granulazione esuberante
- progressiva riorganizzazione tendinea documentata ecograficamente
- recupero funzionale con ritorno al movimento controllato in paddock
In un contesto clinico in cui le lacerazioni complete dei flessori con coinvolgimento sinoviale sono spesso associate a complicanze importanti, la qualità del tessuto riparato rappresenta un elemento di particolare interesse.
Secondo caso: avulsione della parete ungueale nel cavallo

PBM e guarigione delle ferite distali
Il secondo caso riguarda una pony Shetland di 5 anni con avulsione traumatica della parete ungueale mediale ed esposizione della falange distale (P3), una lesione frequentemente associata a:
- guarigione lenta
- infezioni secondarie
- formazione di tessuto cicatriziale di scarsa qualità
Il protocollo conservativo ha previsto:
- debridement e medicazioni regolari
- terapia medica sistemica
- 35 sedute giornaliere consecutive di Laserterapia MLS®
Andamento della guarigione

Durante il periodo di trattamento laser sono stati osservati:
- contrazione della ferita di circa 1 cm/settimana
- riduzione progressiva della zoppia
- formazione di tessuto di granulazione regolare e stabile
Un elemento clinicamente significativo è stato il rallentamento della guarigione dopo la sospensione della laserterapia, insieme alla ricrescita del pelo limitata alle aree trattate con laser, suggerendo un possibile effetto sulla qualità del tessuto rigenerato.
Laserterapia equina ad alta potenza: quali indicazioni emergono dalla pratica clinica
Pur trattandosi di un case report, lo studio fornisce indicazioni utili per la pratica veterinaria quotidiana:
- Laserterapia MLS® può rappresentare un valido supporto biologico nella gestione conservativa delle lesioni distali del cavallo
- I risultati osservati sono coerenti con i meccanismi cellulari noti della fotobiomodulazione (modulazione dell’infiammazione, stimolo mitocondriale, organizzazione del collagene)
- L’introduzione precoce della laserterapia sembra favorire una traiettoria di guarigione più ordinata
- La fotobiomodulazione (PBM) non sostituisce le terapie standard, ma può potenziarne l’efficacia in contesti clinici complessi
Laser MLS®: integrazione ragionata nella clinica equina
Questo lavoro rafforza un concetto chiave per il veterinario equino: Laserterapia MLS® non rappresenta una terapia alternativa, ma uno strumento integrativo, da utilizzare in modo consapevole all’interno di protocolli conservativi strutturati.
Per l’ippiatra, significa disporre di un’opzione terapeutica aggiuntiva, supportata da evidenze biologiche e cliniche, nei casi in cui la chirurgia non sia praticabile e la gestione conservativa rappresenti l’unica strada possibile.